CABINET DENTAIRE DES TUILERIES
DOCTEURS ARTUSO, STROUMSA ET ROUX
Implantologie, Parodontologie, Laser, Esthétique, Empreintes numériques,Pédiatrie, Alignement dentaire
ACCUEIL
LE CABINET
PLAN D'ACCÈS
PRENDRE RDV
DR ARTUSO Dorothée
DR STROUMSA Laurie
DR ROUX
QUESTIONNAIRE PRE-RDV
Urgences
Contactez nous
CABINET DENTAIRE DES TUILERIES
DOCTEURS ARTUSO, STROUMSA ET ROUX
Implantologie, Parodontologie, Laser, Esthétique, Empreintes numériques,Pédiatrie, Alignement dentaire
ACCUEIL
LE CABINET
PLAN D'ACCÈS
PRENDRE RDV
DR ARTUSO Dorothée
DR STROUMSA Laurie
DR ROUX
QUESTIONNAIRE PRE-RDV
Urgences
Contactez nous
Les prothèses
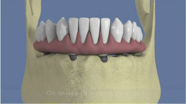
Mandibule complète et traitement implantaire pour un bridge fixe vissé
⟶
L’innovation numérique et les restaurations dentaires
⟶
Mandibule : all-on-4
⟶
Prothèse complète vissée sur implant
⟶
Maxillaire : all-on-4
⟶
Comblement de sinus par voie latérale et implantation simultanée
⟶
Traitement d'une carie par inlay/onlay
⟶
Maxillaire all-on-6 et comblement de sinus
⟶
Facettes
⟶
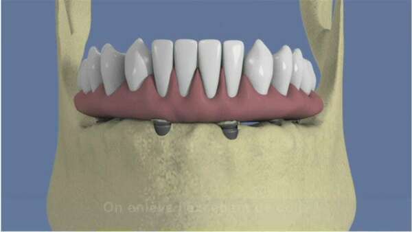
Mandibule complète et traitement implantaire pour un bridge fixe scellé
⟶
Comblement de sinus par voie latérale (sinus lift) avec implantation différée
⟶
Fixation d’une prothèse par une barre sur 4 implants
⟶
Affichage des articles 1-12 sur 34
‹
1
2
3
›
À la une
(4)
Informations pratiques
(8)
L'équipement du cabinet dentaire
(3)
L'orthodontie
(43)
Les choix esthétiques
(11)
Les dents chez l'adulte
(6)
Les dents de l’enfance à l’adolescence
(14)
Les dents et la santé
(26)
Les gencives
(23)
Les implants
(25)
Les pathologies bucco-dentaires
(29)
Les prothèses
(35)
Omnipratique
(196)
Prendre soin des dents
(21)
CABINET DENTAIRE DES TUILERIES DES DOCTEURS ARTUSO, STROUMSA ET ROUX
Politique de confidentialité et charte cookie
Mentions légales
Conditions Générales Utilisation
Charte déontologique
Ordre national
Annuaires chirurgiens dentistes
Création par
Connexion